Продолжаем поиски "Философского камня". Каждому герою – свой камень. Для человека с неровными зубами жизненным эликсиром являются "чудо брекеты". Что должны уметь делать такие брекеты? Они должны уметь превращать неровные зубы в ровные, но обязательно без удаления зубов. Мало того, что зубы станут ровными, еще должны улучшиться пропорции лица: губки полненькие, подбородок красиво очерченный, а белоснежные бусинки зубов обязаны занять весь просвет улыбки. Достаточно внимательно поработать в Google и через 30-40 минут Вы наткнетесь на информацию о саморегулирующих брекетах. Если брекеты САМОРЕГУЛИРУЮЩИЕ, то Вы получите все, что только пожелаете. А если Вам повезет, то в Вашем районе всегда найдется ортодонт, который работает с такими саморегулирующими системами.
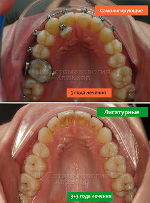
Мы познакомим Вас с пациентом. Этой девушке сначала сильно повезло: она нашла такие брекеты и такого врача, поэтому она начала лечение. Но приблизительно через 2 года она поняла, что везение закончилось и брекеты перестали регулироваться. Она упала духом и перестала ходить на ортодонтические активации. Она упала духом и перестала ходить на ортодонтические активации. Мы не знаем, что дало ей толчок для эмоционального подъема, чтобы начать новый поход за красивой улыбкой. Возможно наша статья "Самолигирующие или лигатурные брекеты. Правда и мифы"
Мы расскажем Вам её историю, она благородно разрешила использовать фотоматериалы, если они смогут кому-то помочь разобраться в запутанных ситуациях.
